Before & After Smile Transformations
At our Surry Hills dental clinic, Dr. Laura Sutedja and her team help patients achieve healthier, more confident smiles. Browse our before and after gallery to see real patient results from treatments such as teeth whitening, veneers, and restorative dental procedures.
Real Patient Smile Transformations
The following images showcase real results achieved at our Surry Hills dental clinic. Each treatment is tailored to the patient’s needs, whether improving tooth colour, repairing damage, or enhancing the overall appearance of the smile.
Individual results may vary depending on the patient’s dental condition and treatment plan.
-

Dental crown restoration at Dr. Laura Sutedja’s Surry Hills clinic, improving tooth function and smile appearance.
-

Tooth filling replacement at our Surry Hills dental practice: Amalgam removed and replaced with a natural-looking composite restoration.
-

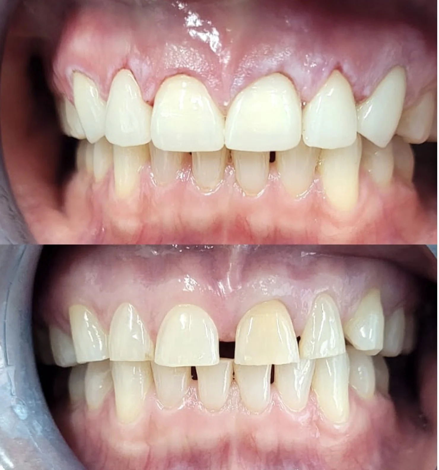
Smile makeover using two zirconia crowns performed by Dr. Laura Sutedja in Surry Hills, enhancing both aesthetics and function.
-

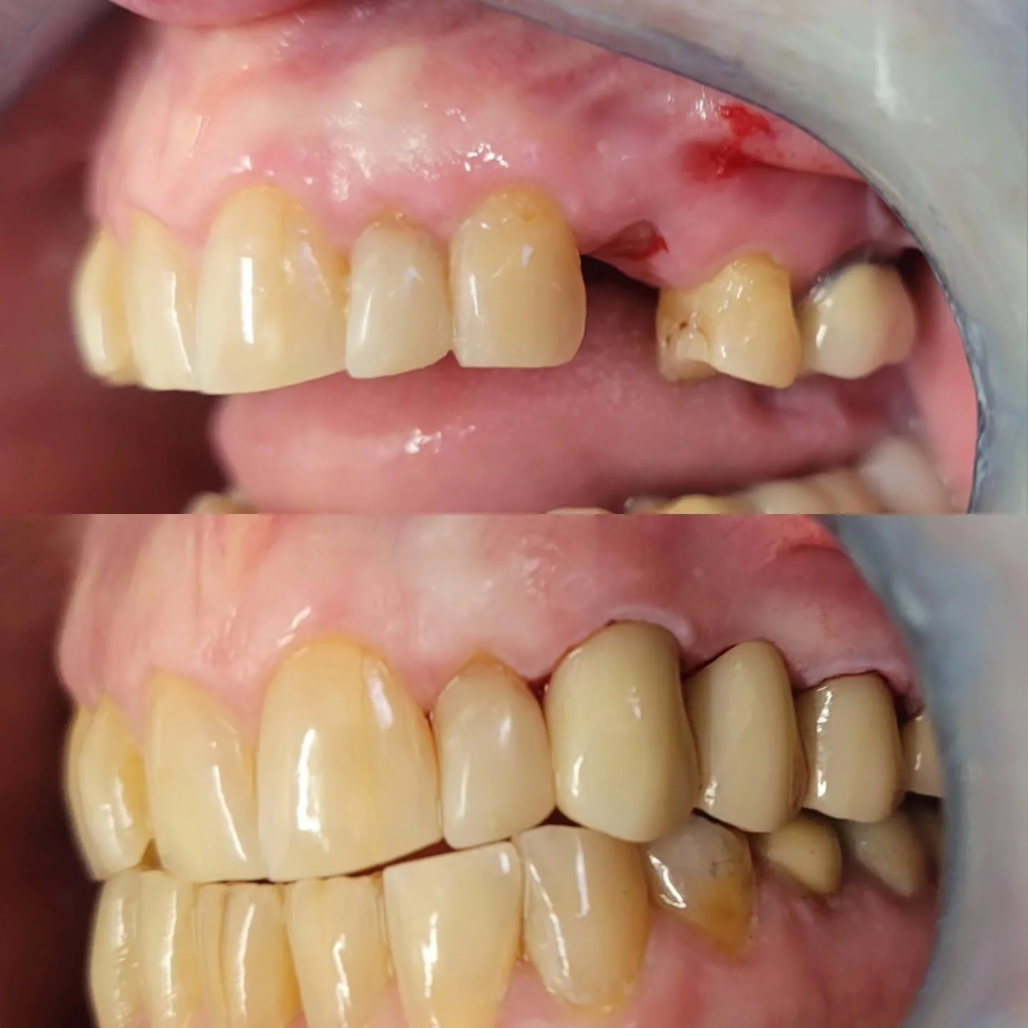
Smile restoration with a zirconia bridge at our Surry Hills clinic, replacing missing teeth for a seamless, natural look.
-

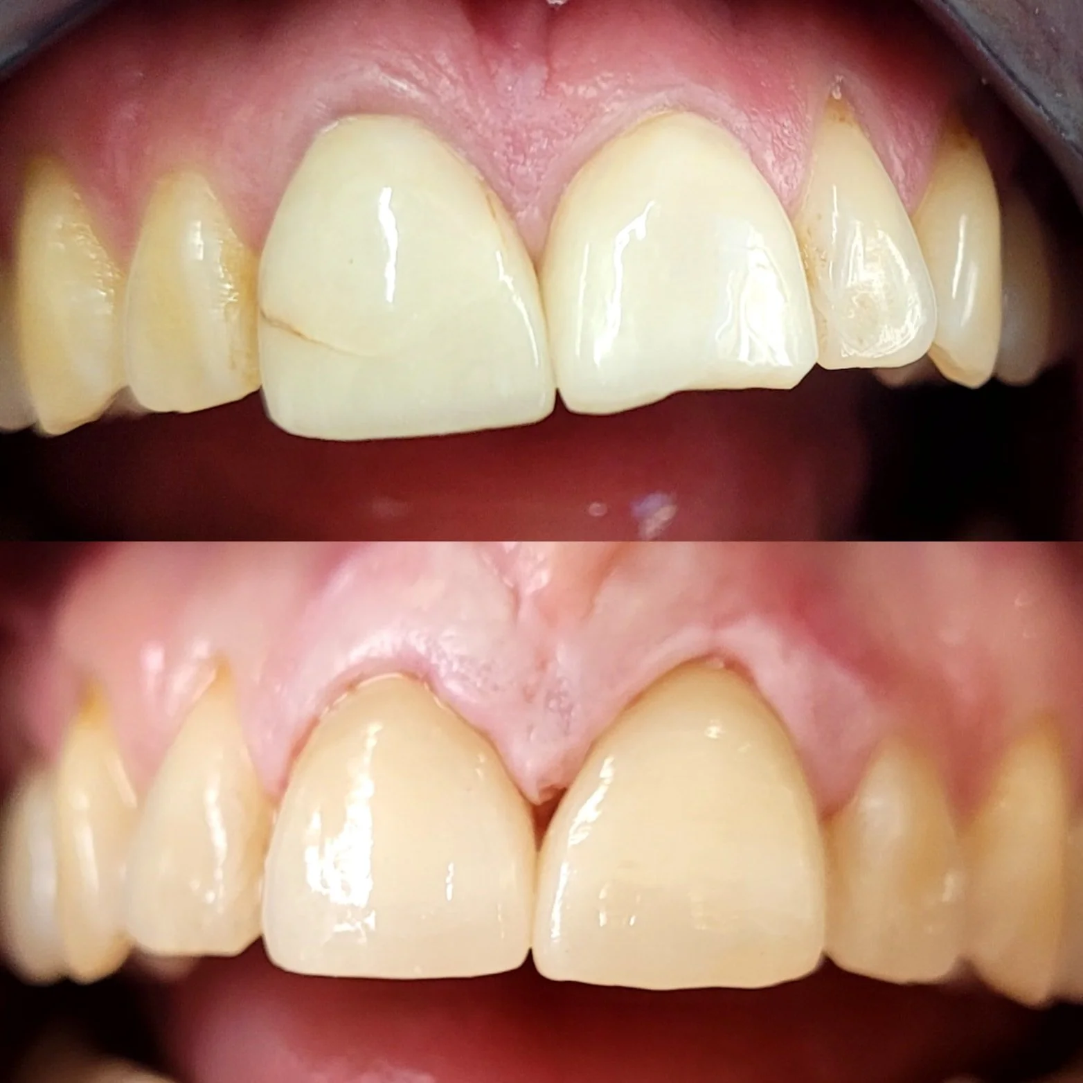
Old, chipped, and stained composite veneer replaced with a natural porcelain crown at Dr. Laura Sutedja’s Surry Hills practice.
-

Instant smile enhancement with composite veneers in a single visit at our Surry Hills dental clinic, delivering a brighter, balanced smile.
See More Smile Transformations
Follow our clinic on Instagram to see more smile transformations and updates from Dr. Laura Sutedja’s dental practice.
Ready to Transform Your Smile?
If you're looking for a friendly and experienced dentist in Surry Hills, Dr. Laura Sutedja and her team are here to help. We provide personalised dental care for individuals and families in Surry Hills and surrounding Sydney suburbs.
Our clinic is conveniently located just a 2-minute walk from Central Station (Devonshire Street exit), making it easy to visit us whether you live nearby or commute into the city.
We welcome both new and existing patients and are happy to answer any questions about treatments, appointments, or health fund claims.
Book an Appointment
You can call our clinic to speak with our friendly team or book your appointment.